A recently released medical case study tells the story of a pregnancy weirdly comparable to a Xenomorph’s birth in Alien (albeit less deadly). A fetus managed to pop part of its body out through the wall of its mother’s uterus and lived to babble about it, according to a report in the New England Journal of Medicine.

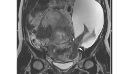
The case was about a 33-year old woman who was 22 weeks pregnant. Although she appeared to have no symptoms at first glance, routine ultrasound detected something unexpected. Subsequent magnetic resonance imaging showed that her uterine wall had a 2.5-centimeter-long (1 inch) rupture and the amniotic sac had herniated, letting the fetus’s abdomen and legs to poke through.
The woman was treated by doctors at the Angers University Hospital in France, who said they had never seen anything quite like it before. She had had five previous caesarean sections. The scar tissue from these procedures was not found in the same location as this new rupture, however, the multiple C-sections are believed to have weakened the uterine wall.
This is a type of rupture pregnancy. They are thought to affect less than 5 in 1,000 pregnant women who have previously had a Caesarean section, with that risk being notably lower for first-time pregnancies or those who haven’t previously had a Caesarean section. It’s an incredibly rare phenomenon, but one which comes with a daunting list of potentially life-threatening complications.
Fortunately, in this case, the birth was remarkably uncomplicated. The mother gave birth to a 1.4-kilogram (3-pound) boy via C-section during the 30th week of pregnancy. The mother’s uterine rupture and large amniocele were identified and repaired through surgery after the birth, and she was discharged from the hospital just five days later. Six months on and the boy is perfectly fit and healthy, regardless of his slightly bizarre start to life.